治療例
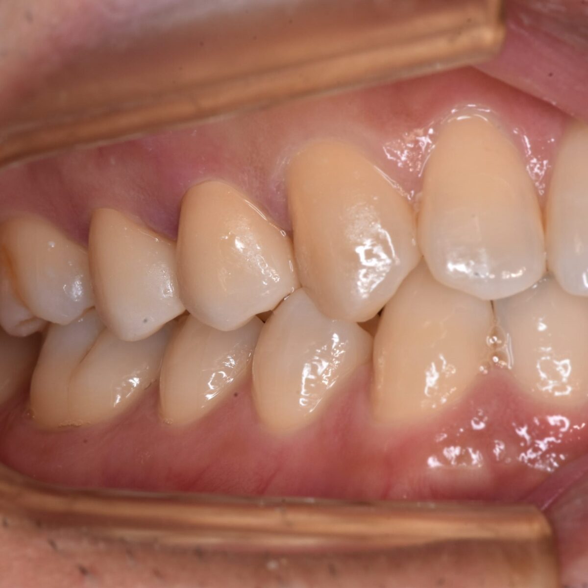
外から虫歯の大きさはわかるのか?
これまでむし歯と思っていない歯が、むし歯といわれるのはなぜ? 市川市、妙典の歯科医院、めぐりデンタルクリニックです。 むし歯と指摘されたことがない。だから、安全・・・というわけで…
歯周病悪化で全ての歯を抜き、インプラントAGCブリッジとなったケース
まず初めに、日本でも年間数えられるくらいのケースしか行われないこの処置を行わせていただき、また、ブログ上で公開することに了承いただいた患者様に深い感謝を申し上げます。また、ご協力…
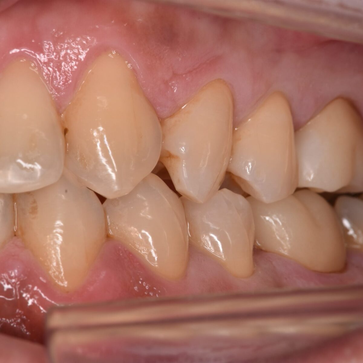
見た目が白く、何ともなさそうな歯でも・・・
市川市、妙典の歯科医院、めぐりデンタルクリニックです。 関連記事はコチラになります 見た目が白くても、むし歯があることはある – 妙典の歯科 歯医者(市川市)めぐりデン…
右上の奥歯の状態が悪くなり、抜歯してインプラントにしたケース
なぜインプラントにしたのか? 「右上の奥歯が膨れて、黄色いものが出てくる」とのことで、CTにて状態を精査したところ、残せないと判断したケースになります。 骨から、歯が浮いている状態…
左上の奥歯の状態が悪く、2本のインプラント治療を行ったケース
インプラント治療前の状態はどうだったのか? 左上の歯から膿が出る、とのことで当院を受診された患者さんです。状態確認のため、CTをとると、なかなかひどいことに・・・ 手前も、奥の歯も…
上の前歯の根の先に炎症があった歯のセラミックス治療
なぜ、被せる(クラウン)治療になったのか? 【東京メトロ東西線妙典駅 徒歩5分の歯医者】市川、妙典の歯科医院、めぐりデンタルクリニックの梶原です。 歯の根に問題があったため、前歯の…
奥歯の神経に近いむし歯のセラミックス治療
治療したら、深いむし歯があったため、症状がないことを確認してセラミックス治療となったケースです。 削るとこのようになりました。 両側とも神経に近い、深いむし歯だったため、クラウン(…
上下の奥歯を同時にセラミックスにした治療
上下同時に歯の治療を進めるメリットは? 同時に行うメリットは、かみ合わせを作りやすい、ということです。また、治療期間の短縮にもつながるので、当院では可能ならば複数の歯を同時に進める…
銀歯の中の問題は症状からはわからない
【東京メトロ東西線妙典駅 徒歩5分の歯医者】市川、妙典の歯科医院、めぐりデンタルクリニックの梶原です。 関連記事はこちら↓ 銀歯の中の歯の状態はどうなっているのか – …
銀歯の下には・・・10
【東京メトロ東西線妙典駅 徒歩5分の歯医者】市川、妙典の歯科医院、めぐりデンタルクリニックの梶原です。 銀歯に関してはシリーズものとして書いています。↓のリンクからこれまでの記事を…










