前歯のつめもの
前歯のつめもの9
【東京メトロ東西線妙典駅 徒歩5分の歯医者】市川、妙典の歯科医院、めぐりデンタルクリニックの梶原です。 以前のブログはこちら↓↓ 前歯のつめもの8 – めぐりデンタルク…
前歯のつめもの8
【東京メトロ東西線妙典駅 徒歩5分の歯医者】市川、妙典の歯科医院、めぐりデンタルクリニックの梶原です。 以前のブログはこちら↓↓ 前歯のつめもの7 – めぐりデンタルク…
前歯のつめもの7
【東京メトロ東西線妙典駅 徒歩5分の歯医者】市川、妙典の歯科医院、めぐりデンタルクリニックの梶原です。 以前のブログはこちら↓↓ 前歯のつめもの6 – めぐりデンタルク…
前歯のつめもの6
【東京メトロ東西線妙典駅 徒歩5分の歯医者】市川、妙典の歯科医院、めぐりデンタルクリニックの梶原です。 本日から久々にHP連続更新をしようと思います。 皆様に許可を頂いてはいたので…
前歯の治療5
【東京メトロ東西線妙典駅 徒歩5分の歯医者】市川、妙典の歯科医院、めぐりデンタルクリニックの梶原です。 今回は久しぶりに治療の記事を書きます。 基本的に、私が治療の記事を載せる理由…
前歯のつめもの5
【東京メトロ東西線妙典駅 徒歩5分の歯医者】市川、妙典の歯科医院、めぐりデンタルクリニックの梶原です。 本日も治療の写真を載せたいと思います。外れたところをそのままにしていた方の治…
前歯のつめもの4
市川、妙典の歯科医院、めぐりデンタルクリニックの梶原です。 今日も前歯の治療を載せようと思います。昔の詰め物の周りから広がった虫歯です。ここには表側しか載せていないのですが、裏側が…
前歯のつめもの3
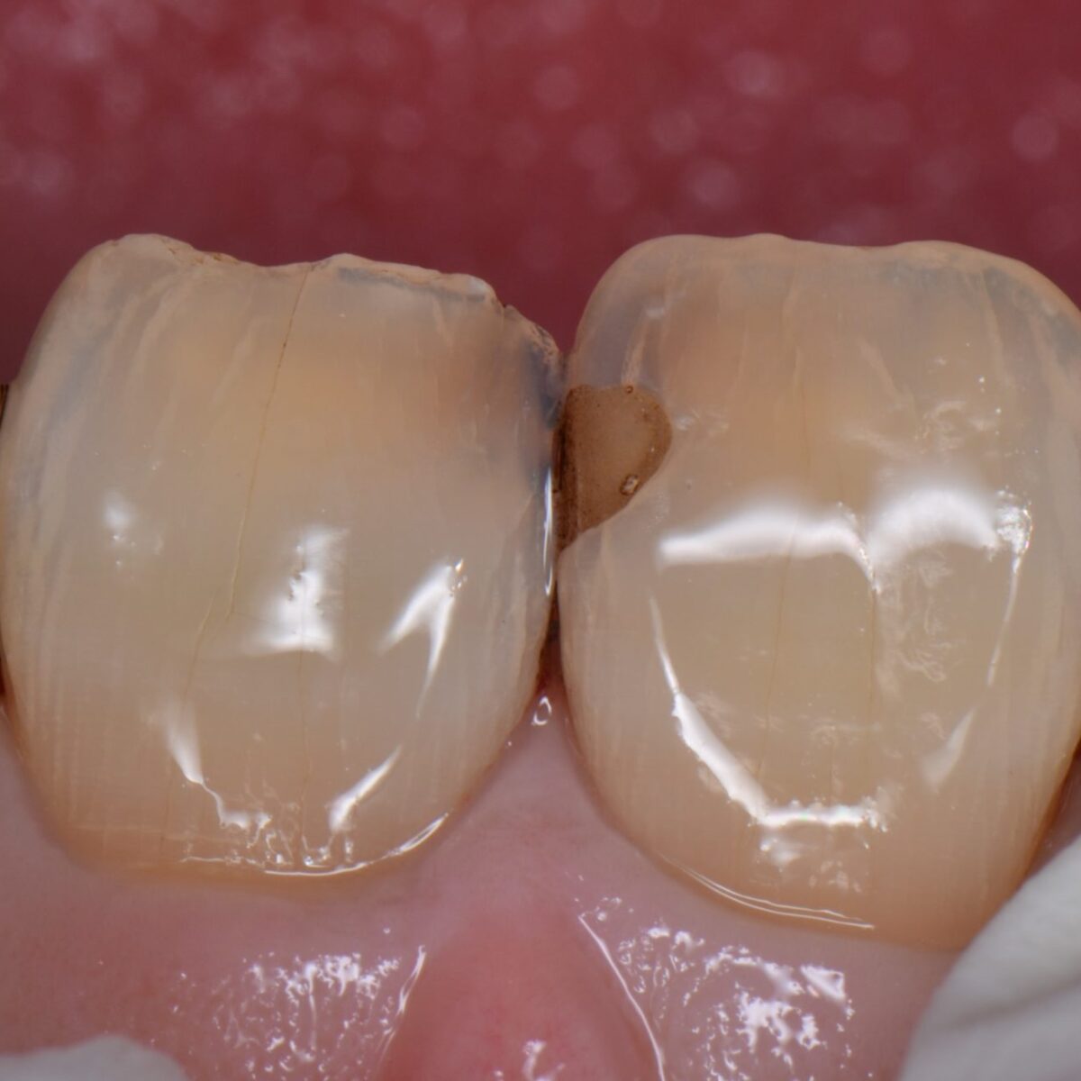
市川、妙典の歯科医院、めぐりデンタルクリニックの梶原です。 今日もまた、前歯の治療について書こうと思います。 処置前です、歯の昔の詰め物の周りの変色がわかるかと思います。実物を見る…
前歯のつめもの2
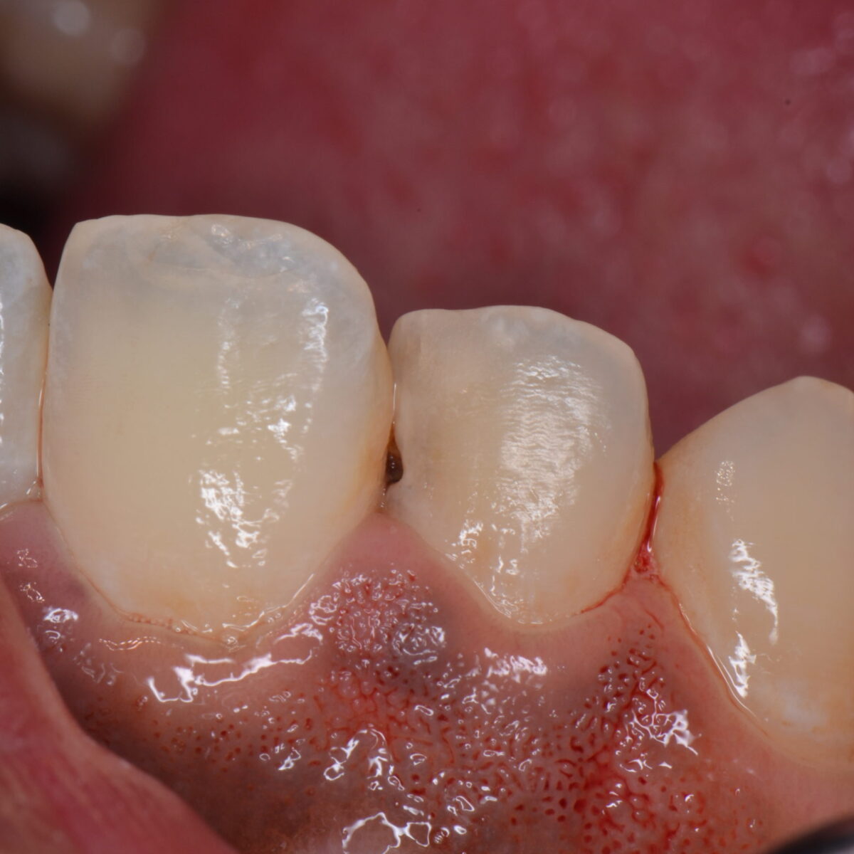
市川、妙典の歯科医院、めぐりデンタルクリニックの梶原です。 本日は先日のブログに引き続き、前歯の治療を載せようと思います。今回も前歯の治療です。 ↑間が茶色いのが見えると思います。…
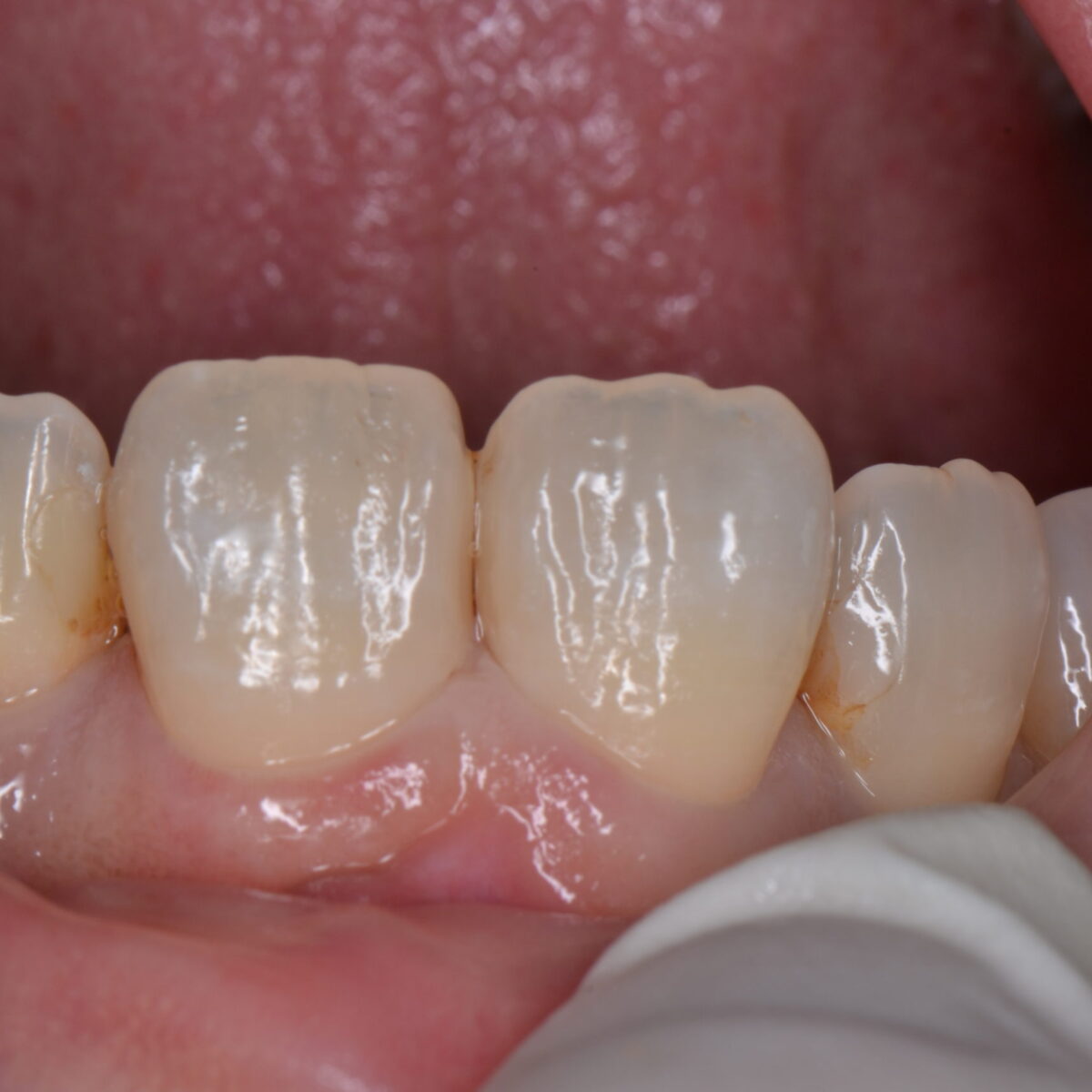
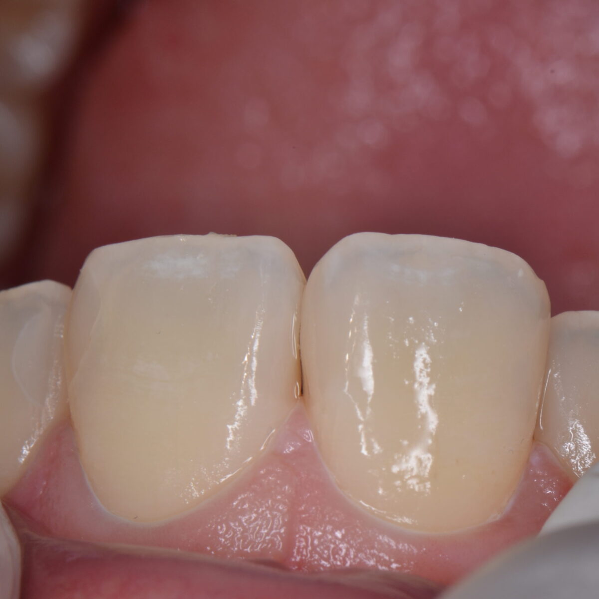
前歯のつめもの
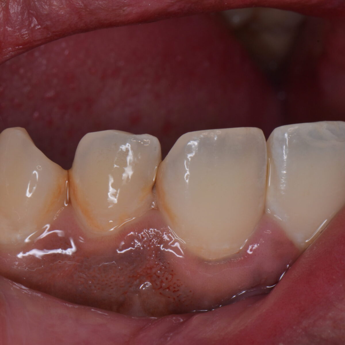
市川、妙典の歯科医院、めぐりデンタルクリニックの梶原です。 今日は先日処置した方の写真を載せようと思います。(ご本人に許可をとっております)保険診療のCR充填という処置です。 ↑前…










