白いつめものの下
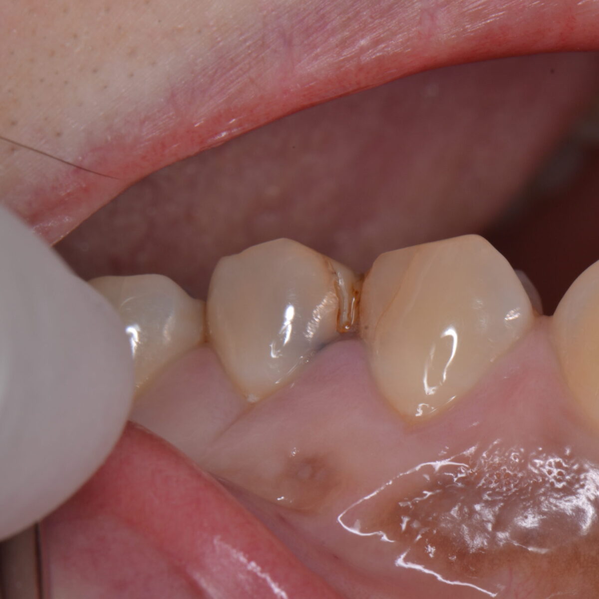
外から虫歯の大きさや深さはわかるのか?
【東京メトロ東西線妙典駅 徒歩5分の歯医者】市川、妙典の歯科医院、めぐりデンタルクリニックの梶原です。 関連記事はこちら↓ https://meguridental.com/神経…
白いつめものの下6
【東京メトロ東西線妙典駅 徒歩5分の歯医者】市川、妙典の歯科医院、めぐりデンタルクリニックの梶原です。 治療した後、というよりも、「誰が」「どうやって治療するのか?」という点が処置…
白いつめものの下5
【東京メトロ東西線妙典駅 徒歩5分の歯医者】市川、妙典の歯科医院、めぐりデンタルクリニックの梶原です。 前回の記事になります 白いつめものの下4 – めぐりデンタルクリ…
白いつめものの下3
【東京メトロ東西線妙典駅 徒歩5分の歯医者】市川、妙典の歯科医院、めぐりデンタルクリニックの梶原です。 前回記事はこちら↓ 白いつめものの下2 – めぐりデンタルクリニ…
白いつめものの下2
【東京メトロ東西線妙典駅 徒歩5分の歯医者】市川、妙典の歯科医院、めぐりデンタルクリニックの梶原です。 前回記事はこちら↓ 白いつめものの下 – めぐりデンタルクリニッ…
白いつめものの下
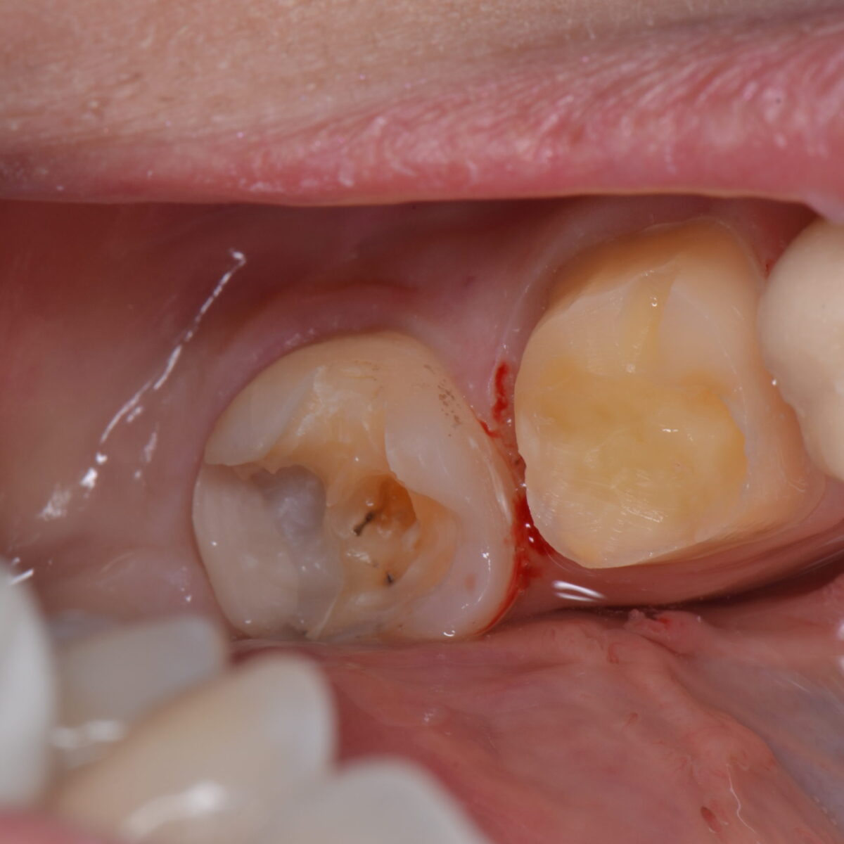
【東京メトロ東西線妙典駅 徒歩5分の歯医者】市川、妙典の歯科医院、めぐりデンタルクリニックの梶原です。 **注意** 今回、出血のある部位があります。少し手も血が苦手という方はペー…






