治療例
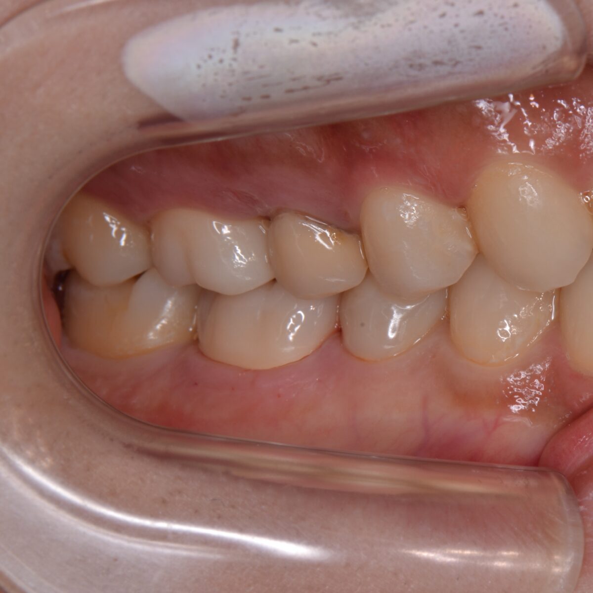
右下奥歯の銀歯を外したら、中にカリエスが見つかったケース
歯の治療は、ただ削って埋めればいいわけではない 【東京メトロ東西線妙典駅 徒歩5分の歯医者】市川、妙典の歯科医院、めぐりデンタルクリニックの梶原です。 治療方法がその後の歯に影響を…
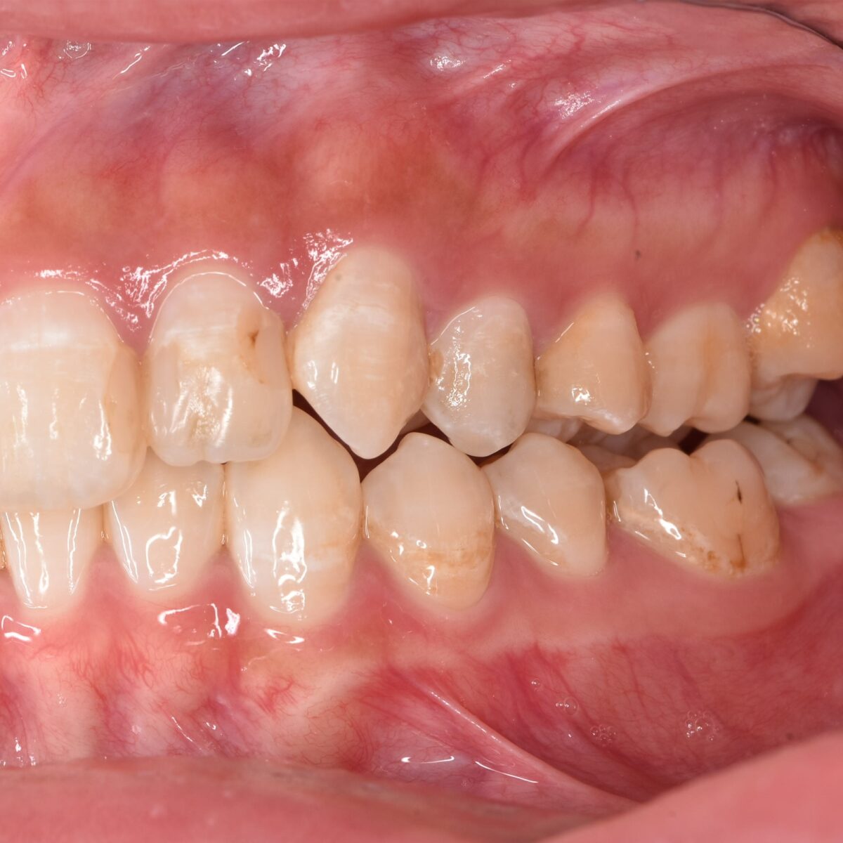
左下第一大臼歯の銀歯を外したら、前後の歯にも虫歯が見つかり、治療したケース
歯の治療を行う上で、考えるべきこと 【東京メトロ東西線妙典駅 徒歩5分の歯医者】市川、妙典の歯科医院、めぐりデンタルクリニックの梶原です。 「そこだけ、最小限に」という治療を求める…
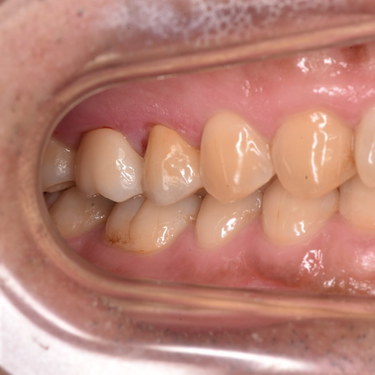
右下第一大臼歯のむし歯をとって、セラミックスクラウンを装着したケース
治療をしたから、終わりではない 【東京メトロ東西線妙典駅 徒歩5分の歯医者】市川、妙典の歯科医院、めぐりデンタルクリニックの梶原です。 今回は、右下奥歯の治療をして、セラミックス…
上の不揃いな前歯をセラミックスクラウンできれいに並べたケース
前歯はただ被せればいいわけではない 【東京メトロ東西線妙典駅 徒歩5分の歯医者】市川、妙典の歯科医院、めぐりデンタルクリニックの梶原です。 今回は、上の前歯2本を被せものにして、…
古い詰め物を外した第一大臼歯の治療(歯の治療を受けたからと言って、きちんと治ったというわけではない)
治療を受ければ、何年にもわたって問題ない状態になるのか? 【東京メトロ東西線妙典駅 徒歩5分の歯医者】市川、妙典の歯科医院、めぐりデンタルクリニックの梶原です。 みなさんにお伺いし…
きちんとした歯科治療を受けたいのなら・・・
【東京メトロ東西線妙典駅 徒歩5分の歯医者】市川、妙典の歯科医院、めぐりデンタルクリニックの梶原です。 治療についての考え方は重要です。流れとしては、上に書いた自由診療で治療したか…
矯正って、とりあえずやればよくなるものなの?
【東京メトロ東西線妙典駅 徒歩5分の歯医者】市川、妙典の歯科医院、めぐりデンタルクリニックの梶原です。 以前に書いた、注意喚起も兼ねた記事がございますので、よろしければご一読下さい…
ひどい状態になってから、むし歯の治療をしても治せるのか?
むし歯の治療について考えるべきポイントとは・・・ 【東京メトロ東西線妙典駅 徒歩5分の歯医者】市川、妙典の歯科医院、めぐりデンタルクリニックの梶原です。 「治療をせずにほおっておい…
どういうクオリティで口の中の治療をするのか?で、その後の口の状態は変わってくる
歯がなくなっていく要因をご存じですか? 【東京メトロ東西線妙典駅 徒歩5分の歯医者】市川、妙典の歯科医院、めぐりデンタルクリニックの梶原です。 どういう風に治療をするか、でその後の…
奥に隠れた大きな虫歯をとって、セラミックを被せた治療
見えるところだけが、むし歯がある部分ではない 見た目から、どのくらいの大きなのむし歯なのか?ということは、なかなかイメージできません。とってみてビックリ!ということも多々あります…










