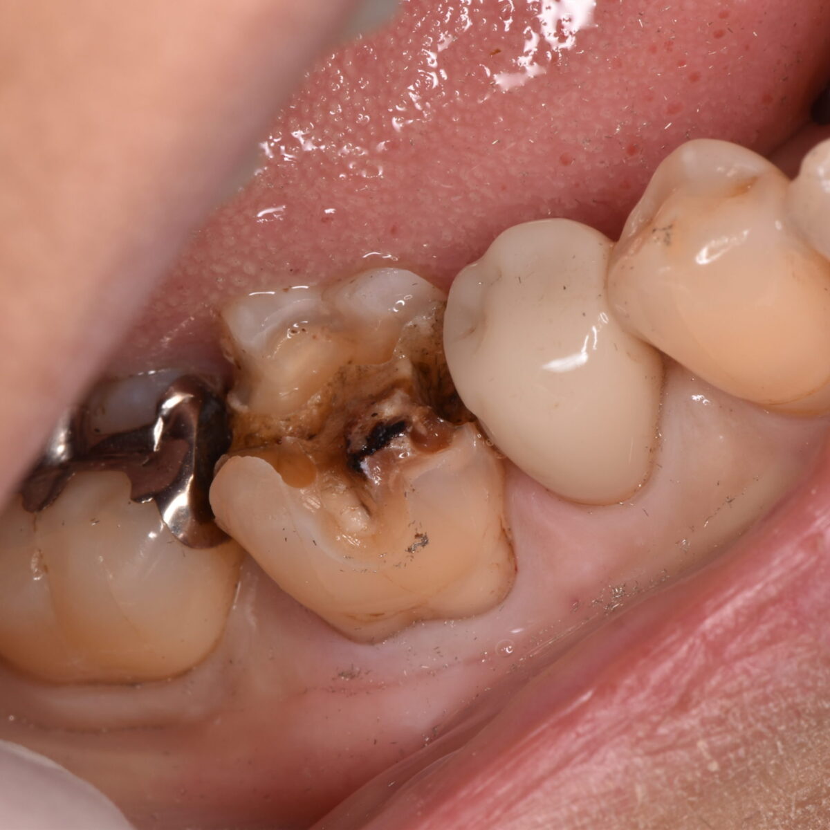
銀歯の下
どういうクオリティで口の中の治療をするのか?で、その後の口の状態は変わってくる
歯がなくなっていく要因をご存じですか? 【東京メトロ東西線妙典駅 徒歩5分の歯医者】市川、妙典の歯科医院、めぐりデンタルクリニックの梶原です。 どういう風に治療をするか、でその後の…
銀歯の中の問題は症状からはわからない
【東京メトロ東西線妙典駅 徒歩5分の歯医者】市川、妙典の歯科医院、めぐりデンタルクリニックの梶原です。 関連記事はこちら↓ 銀歯の中の歯の状態はどうなっているのか – …
銀歯の中の歯の状態はどうなっているのか
【東京メトロ東西線妙典駅 徒歩5分の歯医者】市川、妙典の歯科医院、めぐりデンタルクリニックの梶原です。 関連記事はこちら↓ 外から虫歯の大きさや深さはわかるのか? – …
歯の治療をしたはずなのに・・・
【東京メトロ東西線妙典駅 徒歩5分の歯医者】市川、妙典の歯科医院、めぐりデンタルクリニックの梶原です。 銀歯に関してはシリーズものとして書いています。↓のリンクからこれまでの記事を…
銀歯の下には・・・11
【東京メトロ東西線妙典駅 徒歩5分の歯医者】市川、妙典の歯科医院、めぐりデンタルクリニックの梶原です。 銀歯に関してはシリーズものとして書いています。↓のリンクからこれまでの記事を…
銀歯の下には・・・10
【東京メトロ東西線妙典駅 徒歩5分の歯医者】市川、妙典の歯科医院、めぐりデンタルクリニックの梶原です。 銀歯に関してはシリーズものとして書いています。↓のリンクからこれまでの記事を…
銀歯の下には・・・9
【東京メトロ東西線妙典駅 徒歩5分の歯医者】市川、妙典の歯科医院、めぐりデンタルクリニックの梶原です。 銀歯に関してはシリーズものとして書いています。↓のリンクからこれまでの記事を…
銀歯の治療は安全で長持ちするのか?
治療を受ける際に考えていただきたいこと 【東京メトロ東西線妙典駅 徒歩5分の歯医者】市川、妙典の歯科医院、めぐりデンタルクリニックの梶原です。 銀歯の治療について記事を書きます。が…
銀歯の下には・・・8
【東京メトロ東西線妙典駅 徒歩5分の歯医者】市川、妙典の歯科医院、めぐりデンタルクリニックの梶原です。 銀歯シリーズ、8回目 ~~~お断り~~~ ・すべての銀歯で問題が起こるという…
銀歯の下には・・・7
【東京メトロ東西線妙典駅 徒歩5分の歯医者】市川、妙典の歯科医院、めぐりデンタルクリニックの梶原です。 銀歯シリーズ、7回目 ~~~お断り~~~ ・すべての銀歯で問題が起こるという…










