セラミックス治療例
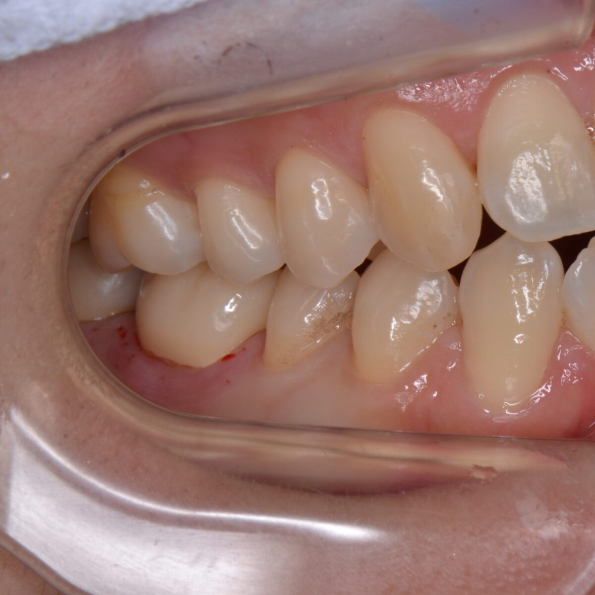
右下第一大臼歯のむし歯をとって、セラミックスクラウンを装着したケース
治療をしたから、終わりではない 【東京メトロ東西線妙典駅 徒歩5分の歯医者】市川、妙典の歯科医院、めぐりデンタルクリニックの梶原です。 今回は、右下奥歯の治療をして、セラミックス…
上の不揃いな前歯をセラミックスクラウンできれいに並べたケース
前歯はただ被せればいいわけではない 【東京メトロ東西線妙典駅 徒歩5分の歯医者】市川、妙典の歯科医院、めぐりデンタルクリニックの梶原です。 今回は、上の前歯2本を被せものにして、…
奥に隠れた大きな虫歯をとって、セラミックを被せた治療
見えるところだけが、むし歯がある部分ではない 見た目から、どのくらいの大きなのむし歯なのか?ということは、なかなかイメージできません。とってみてビックリ!ということも多々あります…
上の前歯の根の先に炎症があった歯のセラミックス治療
なぜ、被せる(クラウン)治療になったのか? 【東京メトロ東西線妙典駅 徒歩5分の歯医者】市川、妙典の歯科医院、めぐりデンタルクリニックの梶原です。 歯の根に問題があったため、前歯の…
奥歯の神経に近いむし歯のセラミックス治療
治療したら、深いむし歯があったため、症状がないことを確認してセラミックス治療となったケースです。 削るとこのようになりました。 両側とも神経に近い、深いむし歯だったため、クラウン(…
上下の奥歯を同時にセラミックスにした治療
上下同時に歯の治療を進めるメリットは? 同時に行うメリットは、かみ合わせを作りやすい、ということです。また、治療期間の短縮にもつながるので、当院では可能ならば複数の歯を同時に進める…
オールセラミックスクラウン2
オールセラミックスクラウンについて 【東京メトロ東西線妙典駅 徒歩5分の歯医者】市川、妙典の歯科医院、めぐりデンタルクリニックの梶原です。 以前書いた、オールセラミックスクラウンの…
オールセラミックスクラウン
セラミックスクラウンとは? 【東京メトロ東西線妙典駅 徒歩5分の歯医者】市川、妙典の歯科医院、めぐりデンタルクリニックの梶原です。 今日は当院でよく被せているセラミックスクラウンの…








