【東京メトロ東西線妙典駅 徒歩5分の歯医者】
市川、妙典の歯科医院、めぐりデンタルクリニックの梶原です。
本日から久々にHP連続更新をしようと思います。
皆様に許可を頂いてはいたのですが、雑務が最近多くてですね・・・
おっと、これ以上はただの愚痴だな(´・ω・`)
以前の記事は↓からどうぞご覧ください。
前歯のつめもの5 – めぐりデンタルクリニック|市川の歯科 歯医者|インプラント治療 | めぐりデンタルクリニック|市川の歯科 歯医者|インプラント治療 (meguridental.com)
前歯のつめもの4 – めぐりデンタルクリニック|市川の歯科 歯医者|インプラント治療 | めぐりデンタルクリニック|市川の歯科 歯医者|インプラント治療 (meguridental.com)
前歯のつめもの3 – めぐりデンタルクリニック|市川の歯科 歯医者|インプラント治療 | めぐりデンタルクリニック|市川の歯科 歯医者|インプラント治療 (meguridental.com)
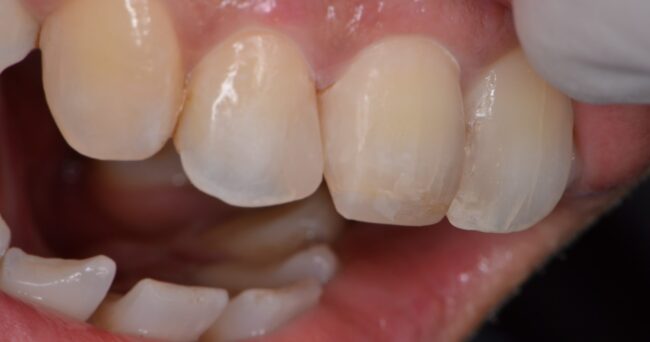
さて、今回ですが、保険の範囲内で処置しております。当院では対応できる範囲内であれば、前歯は保険の白い詰め物を使う事が多いです。(虫歯の範囲が大きすぎたり、深さが深すぎたり、かみ合わせの見直しがある場合は話が別です。)

処置前です。間が茶色いだけに見えると思います。写真だとやはりわからないですね。現実は奥が透けて見えるのですが・・・

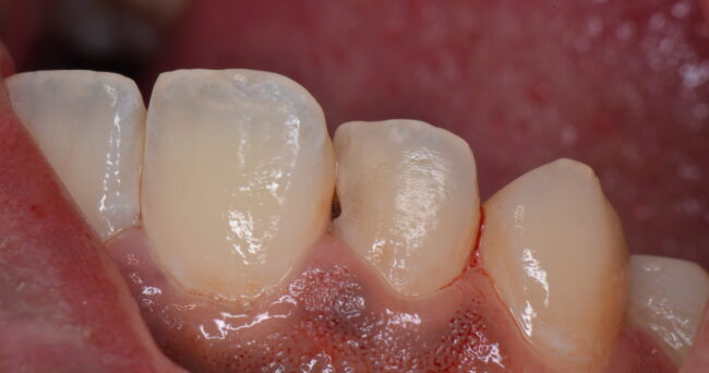
削るとこのような感じです。根本に黒いものが連続しているのが見えると思います。

この方の場合は根本が過去にすすんだ虫歯、上の方に現在進行中の虫歯がありました。↑写真の歯と歯の間に、変に白い部分が歯の中の方に入っているのが見えると思います。これが現在進行中の虫歯です。
世の中、虫歯=黒と思われていますが、正解ではありません。過去に進んだ虫歯が黒であり、象牙質内で進んでいる虫歯は白か赤~茶色いことが多いです。エナメル質で進行中は白ですね。

とりきるとこんな感じ。幸い、象牙質で一層広がる前なので、最小限の削合に留まりました。これが中で広がっていると、削る量はこの倍は必要になってきます。

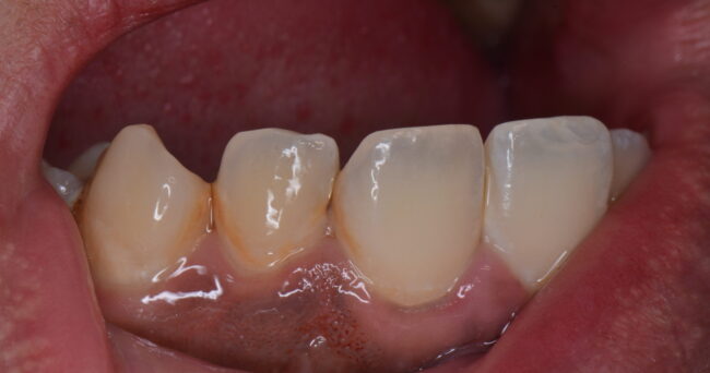
つめた後です。
一番最初の写真の別角度じゃないよ(´・ω・`)
根本の形の再現をちょっと悩みましたが、許容範囲かなと思います。
完璧なキレイさを求める!というのであれば、自由診療でご相談ください。保険診療は、あくまで病気に対応することを目的として作られた制度です。
時間は30分程度だったと思います。ただし、最近は混んできていることもあり、もう少しお時間を頂くかと思いますのでご了承下さい。
〒272-0111
千葉県市川市妙典5-4-22 クリスタルコート101
めぐりデンタルクリニック

