小さなむし歯だからといって、安心できるわけではない
【東京メトロ東西線妙典駅 徒歩5分の歯医者】
市川、妙典の歯科医院、めぐりデンタルクリニックの梶原です。
以前にも、似たような内容を掲載しましたが、今回は別のケースの写真をのせて解説していこうと思います。
むし歯のあるなしは、色の変化、ととらえる人が多いです。確かに、色の変化は判断基準の一つです。ただ「黒いから悪い」というような単純な話ではない、ということです。
下の方にリンクを張っておりますが、見た目からは内部のむし歯の広がりを正確にとらえることはできません。それができるのなら、私はその方を敬意を表してこう呼ぶと思います。「超人(ちょうじん)」と。
そのくらい、外から全体像を把握するのは難しいのです。これは、レントゲンを撮ったから確実にわかる、という話でもありません。
その辺りを含めて、今回のケースを紹介していきたいと思います。
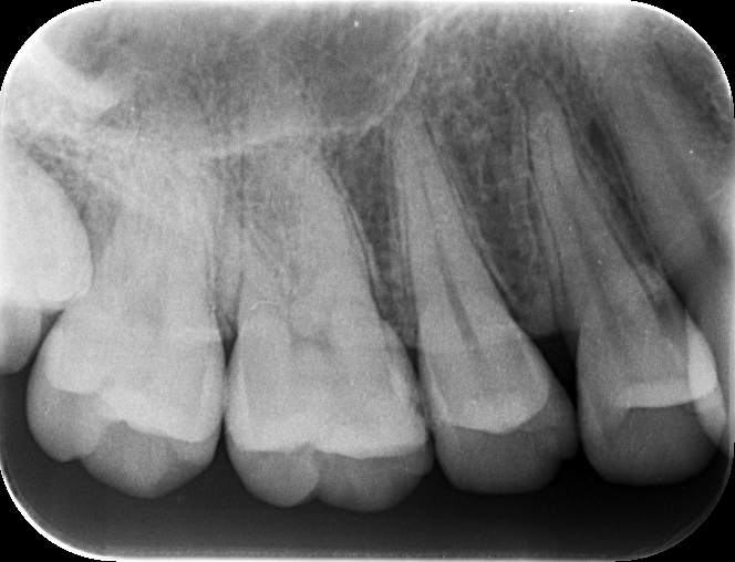
レントゲン上と、実際の見え方


上の写真が処置した部位なります。写真からは、間に黒い部分があるのが見えると思いますが、レントゲン上ではどうでしょうか?

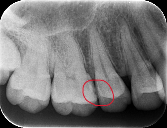
問題の部位は、ここになります。はっきりしたものは映っていません。では、その部分の実際はどうだったのかというと・・・





古いつめものの下の部分も含め、かなりの範囲に広がっていました。それよりも問題なのは、一番最後の写真に写っている削った部分の茶色い部分は、ほぼ神経の真横、ということです。そこまでの大きさなのかは、処置前には全く分かりませんでした。
この状態からは、歯の神経もとることになりえる、ということがお分かりかと思います。一番考えていただきたいこととして、最初の処置前写真から、最後の状態になることを想像できたでしょうか?ということです。
「痛みがなかったのに、歯医者でむし歯があると言われて、治療したら神経をとることになった。おかしい!」に対する回答の一つが上のケースになります。処置前は痛み等の症状はありませんでした。
症状がないから平気ではない、という事をご理解いただきたい
「黒いから虫歯」「むし歯のような痛みがある」患者さんの話を聞くと、こういったことを判断基準をされている方が多いように感じます。実際には、このような判断基準では遅すぎたり、別の問題だったりすることが多いのです。
適切な判断ができない、どうすればいいの?
そのために我々歯科医師がおります。問題ある部位なのかどうか、処置をすると生じるメリット・デメリットについて、などの情報をお伝えすることができます。
ただ、処置をする=再発リスクが高まる、というのは周知の事実。ですので、どうやって治すか?同様な材料を使うのか?までを含めて、処置を行うかどうかは判断しなければなりません。決して、単純に問題があるから処置を・・・という話ではないし、痛み等の症状があるから処置、という単純な判断でもない、ということをご理解いただければと存じます。
〒272-0111
千葉県市川市妙典5-4-22 クリスタルコート101
tel:047-712-5530
めぐりデンタルクリニック

