治療
生体モニターを導入しました
【東京メトロ東西線妙典駅 徒歩5分の歯医者】市川、妙典の歯科医院、めぐりデンタルクリニックの梶原です。 治療技術に優れている、対応がよい・・・ ホームページに色々書かれていたとして…
今がよければいいのか?をもう一度考えていただきたい
【東京メトロ東西線妙典駅 徒歩5分の歯医者】市川、妙典の歯科医院、めぐりデンタルクリニックの梶原です。 我々は医療人ですので、ただ相手の望むことだけをする、というわけにはいきません…
銀歯の下には・・・
【東京メトロ東西線妙典駅 徒歩5分の歯医者】市川、妙典の歯科医院、めぐりデンタルクリニックの梶原です。 今日は、銀歯の下がどうなっているかを載せます。 こちらにも同様のことを書いて…
削らない治療はいい治療?
【東京メトロ東西線妙典駅 徒歩5分の歯医者】市川、妙典の歯科医院、めぐりデンタルクリニックの梶原です。 削らない治療・・・それは果たしていいものなのでしょうか? 削らない=優しい、…
どこにあるのかわかりますか?
【東京メトロ東西線妙典駅 徒歩5分の歯医者】市川、妙典の歯科医院、めぐりデンタルクリニックの梶原です。 最近、(`・ω・´)「写真をブログや他の場面で使ってもいいですか?」٩( &…
治療でできること、できないこと
【東京メトロ東西線妙典駅 徒歩5分の歯医者】市川、妙典の歯科医院、めぐりデンタルクリニックの梶原です。 ↓でも書いた内容とかぶる所がありますが、スルーされがちな内容なので定期的に書…
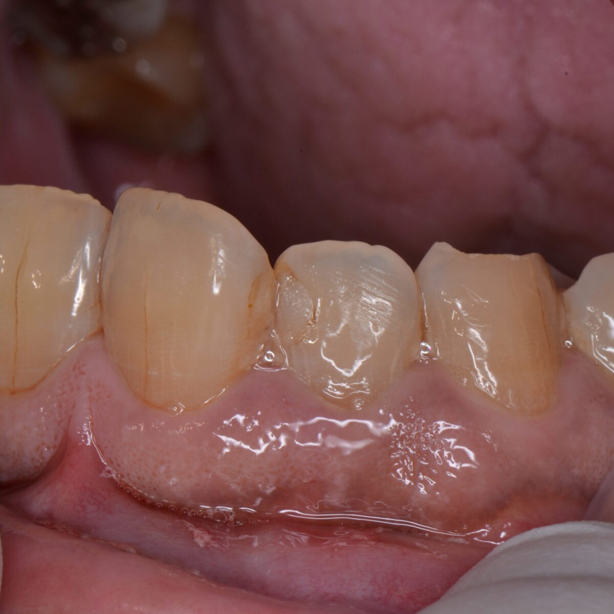
前歯のつめもの5
【東京メトロ東西線妙典駅 徒歩5分の歯医者】市川、妙典の歯科医院、めぐりデンタルクリニックの梶原です。 本日も治療の写真を載せたいと思います。外れたところをそのままにしていた方の治…
その白い詰め物、どのくらいもつと思いますか?
【東京メトロ東西線妙典駅 徒歩5分の歯医者】市川、妙典の歯科医院、めぐりデンタルクリニックの梶原です。 今日は診療関係について どうも世の中に蔓延している認識として「治療は一度すれ…
仮歯で長期間いるとどうなるの???
仮歯のままでいると、どのような問題が起こるのか? 【東京メトロ東西線妙典駅 徒歩5分の歯医者】市川、妙典の歯科医院、めぐりデンタルクリニックの梶原です。 今回は久々に治療関係のこと…
診療に対する姿勢
市川、妙典の歯科医院、めぐりデンタルクリニックの梶原です。 当院は、歯科医院であります。歯科医院の本来の存在意義は、①困った人を何とかして困らない状態にするところ、という事が言える…








