【東京メトロ東西線妙典駅 徒歩5分の歯医者】
市川、妙典の歯科医院、めぐりデンタルクリニックの梶原です。
前回記事はこちら↓
白いつめものの下2 – めぐりデンタルクリニック|市川の歯科 歯医者|インプラント治療 | めぐりデンタルクリニック|市川の歯科 歯医者|インプラント治療 (meguridental.com)
今回も白いつめものの事を書こうと思います。
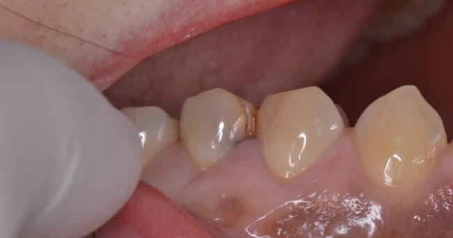
こちらの伝えたいことは変わりません。この形のものは外から見るとわからないが、縁から菌が侵入しやすい、というものです。
特に↓のような、境目がはっきりしている場合に、内側がやられているという状況はよくあります。

外すと、中はこのようになっていました。




このケースの場合は、前回の治療の時点で歯のかむ部分が白いものに置き換わっています。
被せる形ならよいのですが、部分的な治し方の場合は仮に保険外のセラミックスで一番固いジルコニアを使用したとしても割れてくる可能性があります。
ですので、削る部分は多少多いですが、クラウン(被せもの)で治療していた方が長くもっていたのではないかなぁと・・・
歯を残す=その後に問題がなく長持ちする、ならばいいのですが、歯を残す=その後に厄介な問題を起こす可能性がある(今回の場合、神経をとる、あるいは部分的に歯が割れる)ならば、しっかり話し合って治療方法を決めた方がいいと思ってしまいます。
〒272-0111
千葉県市川市妙典5-4-22 クリスタルコート101
tel:047-712-5530
めぐりデンタルクリニック

