【東京メトロ東西線妙典駅 徒歩5分の歯医者】
市川、妙典の歯科医院、めぐりデンタルクリニックの梶原です。
前回の記事はこちらです(/・ω・)/↓
今回もはりきっていきます(・ω・)ノ
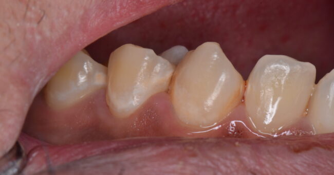
さあ、どこに虫歯があるのでしょうか?

↑の写真で判断できた人は、ぜひ歯科医師を目指して下さい。もし、右側に映った銀歯のところにある!と思った方、その方々も正解です。
わかりづらいと思いますので、本命を削った写真を載せます↓



両側に広がっておりました。片側は、古いつめものの下にも虫歯が隠れていました。この、昔の治療跡というのはなかなか侮れません。小さなものはつめたものに遮蔽され、かなり大きくならないと発見されないからです。
かなり大きな虫歯=やっかいな虫歯、と考えていただいて構いません。

間の部分を削り終わると、↑のような感じになりました。
今症状がないから、は何もあてにならないのです。診療室でよく説明させていただきますが、虫歯「が」痛いのではありません。虫歯が神経に接する位置まで広がり、「炎症を起こした神経が」痛みを伝えるのです。
本当に虫歯が痛いのであれば、神経がない歯の虫歯が痛くなければ変じゃないですか?だって、虫歯そのものが痛いのだから。そうはならないですよね?それから、小さい虫歯が必ず痛くならないのはおかしくないですか?という話です。
だから
虫歯=痛い、痛みがないから治療しない
とお考えの方は危険なのです。痛みが出る=神経が痛みを発してる=体の深い部分で問題がある=末期症状、ということなのです。痛みがでてから治療、というのは基本遅すぎる、と思ってください。しかし、痛みが出たことを悔いても仕方ありません。それならば、残った別の歯を悪くしないように心がけることが、よほど意味があると思います。
とった神経は復活することはないですし、削った歯の部分は再生しません。ご自身を守るうえで「もっとこうしておけば」ではなく「残った他の歯が悪くならないようにするには」を考え、今後の問題を起こらないようにするにはどうすればよいかを真剣に考える人が増えることを切に願います。
〒272-0111
千葉県市川市妙典5-4-22 クリスタルコート101
tel:047-712-5530
めぐりデンタルクリニック

