【東京メトロ東西線妙典駅 徒歩5分の歯医者】
市川、妙典の歯科医院、めぐりデンタルクリニックの梶原です。
このタイトルで過去に書いた記事は↓(リンク先からさらに前の記事のリンクを貼っています。)
当院と他の医院の違いとして、当院は虫歯を積極的に探してとる、というところがあります。明らかに黒くなるまで、歯が欠けるまで処置をしないというクリニックもあります。それは当院とは方向性が違うわけで・・・
例えばのケースですが、

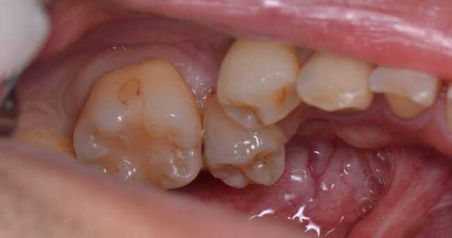
1枚目。あなたが歯科医師だとします。この場合、削りますか?それからもう一つ。どこを削りますか?

2枚目、歯と歯の間が黒いのが確認できると思います。

3枚目。穴の中の茶色いところと白いところはまだ虫歯が残っている部分です。
もう一度上の質問をします。あなたが歯科医師だとします。この場合、削りますか?あるいは、削ってよかったと思えるケースですか?

4枚目。現段階で、削りきるとここまでの大きさになりました。はっきりと虫歯が見えるまで待っていたらどうなっていたでしょう?
この方があなただとしたら、これよりも何倍も大きくなったり、神経をとる処置になっていたとしたら、あなたは満足でしょうか?
我々、歯医者は「治す」という面と「壊す」という面を持っています。問題のないところを削れば、われわれは破壊者となります。だからこそ、初期の段階を正確に診断できる能力が必要なのです。処置した後、長年トラブルが少なく過ごせるような設計をする知識と技術が必要なのです。
〒272-0111
千葉県市川市妙典5-4-22 クリスタルコート101
tel:047-712-5530
めぐりデンタルクリニック

